
Meme kanseri çıkar korkusuyla ertelenen meme muayeneleri ve mamografilerden sonra bir de asıl meme biyopsisi korkusu yaşıyoruz. Halbuki ağrısız, izsiz, kesisiz yapılan basit bir meme biyopsisi hayat kurtarıcı olabiliyor.

Bu yazımızda tamamen ağrısız, izsiz bir biyopsi olan tiroid biyopsisinin ayrıntılarını işliyor olacağız. Tiroid nodüllerinde biyopsinin doğru şekilde uyuşturulup uygun bir teknik ile nasıl yapılacağını anlatacağız.

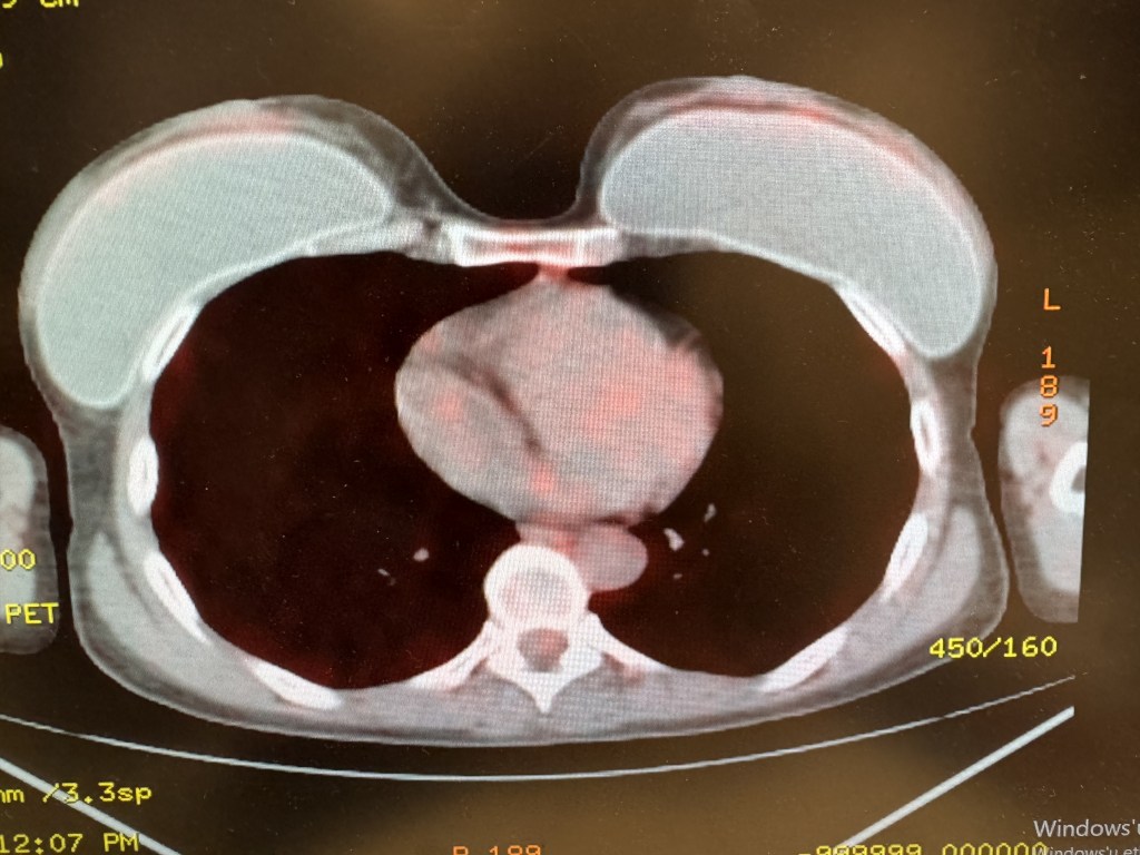
Nedense toplumumuzda akciğer biyopsisinin çok tehlikeli olduğuna, biyopsi sırasında akciğer sönmesi yaşanacağına ve ciddi sağlık sorunu oluşacağına yönünde bir inanış bulunuyor. Detaylara bir göz atalım.

Hem böbrek yetmezliği tanısında, hem böbrek kanserinde hem de böbrek nakli olan kişilerde yapılan böbrek biyopsisi deneyimli ve güvenilir ellerde lokal anestezi ile günübirlik olarak uygulanabilen iğne biyopsilerinden biridir.

Girişimsel radyologların en sık yaptığı biyopsilerden biri olan karaciğer biyopsisi, ultrasonografi eşliğinde lokal anestezi ile ağrısız, hızlı ve günübirlik uygulanabilen iğne biyopsilerinden biridir.

Karın boşluğunda derinde yer alması nedeniyle biyopsisinden çekinilen pankreas görüntüleme eşliğinde hem tomografi hem de ultrasonografi kullanılarak lokal anesteziyle yapılabilmektedir.

Erkeklerin korktuğu prostat biyopsisi aslında gayet iyi uyuşturulduğunda tamamen ağrısız gerçekleştirilebilmektedir. Ayrıca artık makattan girilmeden yapılan yeni iğne biyopsi teknikleri kullanıma girmiştir.

Tükrük bezi içerisinde yerleşimli hastalıklarda ultrasonografi eşliğinde gerçekleştirilen tükrük bezi biyopsileri, ameliyatsız olarak sadece lokal anestezi kullanılarak günübirlik olarak yapılabilmektedir.

Kemik biyopsileri koaksiyel yöntemler ve tomografi kullanımı nedeniyle günümüzde artık yüksek doğrulukta lokal anestezi ile ağrısız olarak günübirlik olarak gerçekleştirilebilmektedir.

Sadece meme kanserinde koltuk altı lenf bezleri değil, tüm diğer hastalıkların lenf nodu tutulumlarında görüntüleme eşliğinde lenf bezi biyopsileri lokal anestezi ile ağrısız olarak gerçekleştirilebilmektedir.

İster kas içerisinde, ister diğer bağ dokularda olsun tüm vücuttaki yumuşak dokulardan iğne biyopsisi yapılabilmektedir. Sıklıkla ultrason, bazen de tomografi eşliğinde yapılan yumuşak doku biyopsileri hızlı biyopsiler arasındadır.

Böbrek üstü bezlerinin metastazlarında veya tanı konulması gereken diğer durumlarda başvurulan sürrenal (adrenal) biyopsi tomografi eşliğinde gerçekleştirilmektedir. Aynı gün taburculuk yapılabilmektedir.
Merhaba,

Bu sitede sizlere biyopsi hakkında herkesin kolayca anlayabileceği şekilde detaylı bilgiler vereceğim. Sorularınız, fikirleriniz, önerileriniz ve katkılarınız için bize aşağıdaki sosyal medya hesaplarımızdan veya whatsapp (0506 0317506) yoluyla ulaşabilirsiniz.
Sitemizde yayınlanan yazılarımızdan haberdar olmak için bültenimize kayıt olabilirsiniz
Medicana International Hastanesi
Beylikdüzü/İstanbul

“Meme biyopsisini kafamda çok büyütmüştüm. Bu kadar kolay olacağını bilmiyordum. Keşke boş yere bu kadar endişelenmeseydim.”

“Bir çok yerden fikir aldım ama en açıklayıcı net bilgiyi sizden aldım. Teşekkür ederim.”

“Korkudan bu kadar beklememeliydik. Ağrısız ve kolay bir biyopsi oldum. Kafamız rahatladı.”
Web sitemizdeki içerik sadece bilgilendirme amaçlı olup tanı ve tedavi için mutlaka doktorunuza başvurun